Les familles avec de jeunes enfants savent que les jeunes chercheurs apprennent le monde très activement, ce qui n'est pas toujours sûr. Le plus souvent, les enfants touchent tout ce qu'ils peuvent atteindre, et il arrive qu'ils goûtent de nouveaux objets inconnus et les traînent dans leur bouche, sans comprendre le danger. Si un enfant avale quelque chose, les parents sont horrifiés! Ils commencent à penser aux dommages que leur bébé peut causer par accident ou par ingestion. Par conséquent, les mères et les pères doivent savoir exactement comment agir si le bébé avale quelque chose de non comestible.

Dangereux ou inoffensif pour les objets de santé - comment le savoir?
Parfois, les parents s'inquiètent en vain, il est donc utile de connaître une liste approximative de ce qui ne fait généralement pas de mal à l'enfant, et après un certain temps, il est naturellement excrété de son corps. Objets avalés en toute sécurité:
- petites pièces du concepteur, par exemple, Lego;
- petits boutons;
- diverses petites perles ou perles;
- petites pièces de monnaie;
- autres petits objets.
Mais il y a des cas où des objets avalés peuvent être nocifs pour la santé, parfois même irréparables. Par conséquent, si le bébé avale quelque chose de dangereux pour la vie, vous devez immédiatement consulter un médecin. Considéré dangereux pour la santé et nécessitant une réponse immédiate:
- tous les comprimés, même en une seule quantité;
- toutes les substances toxiques ou quelque chose de toxique, par exemple, le poison pour les insectes;
- pièces de monnaie de grand diamètre;
- tout objet long (de 3 cm de long - pour les enfants jusqu'à un an; de 5 cm - pour les enfants d'un an);
- les batteries quelle que soit leur forme et leur taille;
- aimants en quantité supérieure à un;
- déjouer.
À quoi dois-je faire attention tout d'abord, si le bébé a avalé un corps étranger? - Sur l'état général de l'enfant. S'il est aussi actif qu'avant, ne vous inquiétez pas. Une chose avalée sortira, pour ainsi dire, de manière naturelle. S'il continue de jouer activement ou de faire autre chose sans se plaindre du bien-être, alors ne paniquez pas.
L'enfant a avalé un objet arrondi
Un petit objet rond non toxique est l'option la plus sûre. Dans un jour, il sortira seul. Nourrissez la bouillie ou la compote de pommes pour que le corps étranger quitte le corps du bébé dès que possible. Les pédiatres ne recommandent pas catégoriquement de donner de la nourriture sèche pour pousser un objet ou faire vomir. Ces mesures violentes peuvent entraîner des dommages internes.
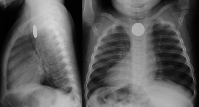
Avalé une pièce - est-ce dangereux
Une pièce de monnaie qui est entrée dans le corps d'un enfant peut avoir des conséquences assez graves. Il peut bloquer les voies respiratoires ou rayer la paroi de l'œsophage. Vous ne devriez pas avoir peur de l'oxydation, car la pièce devra passer 3-4 jours dans l'estomac. Dans la plupart des cas, les petites pièces de monnaie «glissent» sans conséquences, mais assurez-vous qu'elles ont quitté le corps de l'enfant est nécessaire.
Objet potentiellement dangereux avalé.
Si vous pensez qu'un enfant a avalé une lame, une pile, une aiguille ou un autre objet dangereux, vous devez immédiatement contacter un chirurgien pédiatrique. Avant l'examen, il est important que le bébé soit au repos et non en cours d'exécution. Il est strictement interdit de faire un lavement, de faire vomir, de donner un laxatif et, à d'autres égards, d'aider un corps étranger à quitter le corps.
Les batteries sont particulièrement dangereuses. En contact avec les parois de l'intestin ou de l'estomac avec deux pôles à la fois, ils entraînent des lésions des muqueuses. Les batteries contiennent des substances toxiques agressives, qui sont intensément libérées sous l'influence du suc gastrique. Une batterie peut provoquer un ulcère en une heure dans l'estomac et un trou peut se former dans la paroi de l'estomac après quelques heures. Si un enfant avale une batterie, apportez-la à un médecin.
Un aimant avalé n'est pas dangereux, mais en combinaison avec d'autres aimants ou objets métalliques, il peut provoquer des dommages. Étant dans différentes boucles de l'œsophage, ces objets seront attirés et peuvent provoquer des conditions aiguës, en particulier une obstruction intestinale.
Déjouer
En ce qui concerne le fleuret, une vigilance particulière vaut la peine. Le papier d'aluminium peut être très dangereux lorsqu'il est ingéré. Il sera plus sûr si le papier d'aluminium pénètre dans le tube digestif, de sorte qu'il n'entraîne aucun inconfort ni problème de santé. Malheureusement, il existe également des cas graves où la feuille avalée cause un grand préjudice.
Une fois dans les voies respiratoires, le papier d'aluminium restreint le flux d'air vers les poumons, entraînant une hypoxie. Si le larynx ou la trachée est endommagé par du papier d'aluminium, la toux et les vomissements commencent généralement. Il s'agit d'une réaction protectrice du corps, qui essaie de faire face à la pénétration d'un corps étranger. Souvent, à ce moment, l'enfant ne pourra rien dire, et parfois il ne pourra même pas respirer. Dans ce cas, vous ne devriez pas hésiter et attendre la fin, vous devez appeler immédiatement une ambulance.
[sc name = "ads"]
Il est également nécessaire de consulter des spécialistes qualifiés s'il y a du sang dans la bouche de l'enfant. Cela signifie que la feuille a rayé le larynx ou l'œsophage. Même si l'enfant a avalé un petit morceau de papier d'aluminium et n'a montré aucun des signes décrits, il est nécessaire d'observer pendant trois jours si le papier d'aluminium est sorti naturellement. Sinon, la présence de papier d'aluminium dans le corps peut entraîner des conséquences terribles, notamment une perturbation du système nerveux central.
La chose la plus importante: si vous vous souciez toujours des parents ou de l'enfant, vous devriez absolument consulter un médecin! C'est juste le cas où il vaut mieux être en sécurité que désolé.
Si vous ne savez pas si l'enfant a avalé quelque chose ou non? Les signes les plus évidents que le bébé a avalé quelque chose:
- L'enfant se plaint de nausées, des vomissements surviennent;
- Le bébé pleure à cause de douleurs abdominales;
- Ses excréments changent extérieurement;
- Un changement d'humeur brutal;
- Fièvre;
- Bien sûr, en cas de perte de conscience, il est également probable qu'il ait avalé quelque chose.
Un chirurgien conseille Anton Lysov: que faire si un enfant avale un objet étranger
Des pièces de monnaie, des piles, des pièces de jouets, des croix et même des pièces d'une perceuse à métaux.Dans la langue des médecins, ce sont tous des corps étrangers. Ils essaient tout pour une dent, en règle générale, les enfants âgés de un à trois ans. Souvent, tout se passe en quelques secondes. Les parents, succombant à la panique, ne savent pas quoi faire. Comment éviter l'entrée de corps étrangers dans le corps et que faire si cela s'est déjà produit, dira le chirurgien Anton Lysov dans le programme "Petites choses dans la vie".
Que faut-il faire dès que l'enfant avale un objet?
- Demandez à l'enfant d'ouvrir la bouche. Il est possible que le bébé n'ait pas encore été avalé, mais qu'il ait simplement pris quelque chose de non comestible dans sa bouche. Dans ce cas, vous n'avez pas besoin d'effrayer l'enfant, mais retirez soigneusement l'article.
- Si l'article a vraiment été avalé et qu'il y a des symptômes dangereux, appelez immédiatement un médecin.
- Observez l'état du bébé, même si au début il semble que tout va bien. Les jeux actifs, la bonne humeur, le manque de plaintes montreront que tout est en ordre et ne vous inquiétez pas.
- Lorsque les parents n'ont pas remarqué exactement ce que l'enfant a avalé, vous pouvez demander au bébé lui-même s'il peut déjà parler ou s'il peut montrer un sujet similaire.
La raison de l'appel immédiat aux soins médicaux est la suivante:
- vomissements, nausées, hémoptysie, augmentation de la salivation;
- douleur aiguë dans le larynx, l'œsophage, l'estomac;
- perte d'appétit ou refus de nourriture;
- fièvre;
- sang pendant les selles ou dans les selles.
Si un ou plusieurs de ces symptômes sont présents, peu importe la taille de l'objet avalé. Vous devez appeler immédiatement une ambulance et, lorsqu'elle est seule, aider le bébé de la bonne manière.
Que faire et ne pas faire avant l'arrivée de l'équipe médicale
Si un objet a traversé la cavité buccale et s'est coincé quelque part en dessous, mais que le bébé est libre de respirer, vous ne devez en aucun cas essayer de retirer un corps étranger ou de «pousser» un objet avalé avec de la nourriture! Il est également interdit de donner des laxatifs. Parfois, vous pouvez entendre des conseils sur ce qui aide une croûte de pain ou une boisson abondante. Mais le bébé n'a en aucun cas besoin de boire ou de se nourrir! Si l'enfant a très soif, ainsi qu'en cas de dessèchement de la bouche, vous pouvez simplement humidifier vos lèvres ou les essuyer avec un chiffon humide. De plus, vous devez recueillir vos pensées, calmer et rassurer l'enfant, ainsi que préparer les documents nécessaires à une éventuelle hospitalisation à l'hôpital.
Seulement si l'enfant commence à suffoquer, procédez comme suit:
- Mettez le bébé à genoux pour que sa tête soit baissée.
- Tapotez doucement la paume de votre main entre les omoplates, en dirigeant les mouvements de bas en haut.
[sc name = ”rsa”]
Les enfants jusqu'à un an sont mis sur la main de sorte que la tête soit abaissée, avec le doigt de la même main ouverte sur la bouche du bébé. Après cela, selon les mêmes règles, ils giflent dans le dos.
Si le bébé ne suffoque pas, il suffit de lui assurer la paix et de s'assurer qu'il est dans une position confortable, en faisant un minimum de mouvements. Les mesures prises dans ce cas sont non seulement inappropriées, mais également dangereuses: vous pouvez déplacer accidentellement l'objet avalé de sorte qu'il bloque les voies respiratoires ou provoque une douleur aiguë.
En détail:Premiers soins pour un enfant qui s'étouffe ou s'étouffe

Comment les médecins travaillent dans un hôpital
L'étude la plus simple et la plus efficace est une radiographie, avec laquelle vous pouvez déterminer l'emplacement d'un corps étranger. Tous les objets peuvent ne pas être visibles, par conséquent, vous devrez peut-être effectuer en plus une échographie ou un examen endoscopique. Les enfants sont généralement laissés à l'hôpital pendant 2-3 jours pour surveiller l'état ou décider si une intervention supplémentaire est nécessaire. Si l'article est petit et ne constitue pas une menace pour la santé, l'enfant est en paix et à chaque selle, il vérifie si le corps étranger est parti.


Les objets dangereux doivent être retirés d'urgence du corps, dans ce cas, la méthode endoscopique aide presque toujours.L'essence de cette méthode est simple: à l'aide d'un endoscope et d'une boucle ou de pinces spéciales, un objet est sorti par la bouche et, dans certains cas, il pousse le corps étranger plus loin pour qu'il quitte le corps naturellement. Dans les cas particulièrement graves, une chirurgie laparoscopique ou abdominale est prescrite, mais cela est extrêmement rare.
Comment protéger un enfant pour éviter un événement désagréable
Si possible, il est toujours nécessaire de garder l'enfant en vue, surtout si c'est absolument une miette qui n'a appris qu'à bouger de façon autonome. Tout article présentant le moindre danger doit être déposé dans un endroit sûr. Les enfants plus âgés doivent parler de sécurité dans une langue accessible à leur âge. Il vaut la peine d'inspecter soigneusement tous les jouets achetés et de surveiller ceux qui existent afin qu'ils ne soient pas endommagés. L'amour et les soins parentaux, ainsi que le respect de certaines règles aideront à protéger l'enfant contre les troubles et, si nécessaire, prodigueront les premiers soins si le bébé avale quelque chose.
Nous lisons également:
- Premiers soins pour un enfant qui s'étouffe ou s'étouffe
- Un enfant a un corps étranger dans l'oreille ou le nez - règles de premiers soins
- Que faire si un enfant est piqué par des moustiques, des moucherons, des abeilles, des guêpes - premiers secours pour les piqûres d'insectes
- Premiers soins pour un enfant en situation d'urgence
Ambulance Dr Komarovsky: Que faire si un enfant avale quelque chose
École de santé: si un enfant avale quelque chose

Oui, en fait, vous ne savez jamais ce que votre petit spinogryz décidera de mettre dans votre bouche. Pour moi, j'ai pris en compte que vous devez surveiller constamment l'enfant et, si possible, ne pas le donner en vue de choses dangereuses, alors la situation avec l'ingestion de corps étrangers peut être évitée. Je vous conseille d'être le plus vigilant possible avec vos enfants.
Ma vie personnelle pirater les mesures de sécurité et éviter les situations imprévues n'est certainement pas sûre à 100%, mais 80% m'aidera.
1. Il est impératif d’exclure la capacité de l’enfant à accéder aux articles interdits (tous les médicaments et préparations médicales dans les tiroirs les plus hauts des armoires).
2. Dès l'instant d'une compréhension plus ou moins consciente de ce qui se passe autour de lui, l'enfant obtient immédiatement l'information, c'est possible-impossible sur un exemple pratique: on apprend ce qui est chaud, tranchant, amer, etc. (naturellement sans fanatisme), nous précisons que l'interaction avec de tels objets est dangereuse et peut être douloureuse.
3. Jouets par âge et sans déchets chinois, il vaut mieux abandonner complètement le jouet que de l'acheter moins cher, on ne sait pas quelle qualité.
4.Contrôlez l'espace et maintenez l'ordre dans la maison, si vous ne parvenez pas à maintenir l'ordre vous-même, demandez l'aide de parents et d'amis proches (vous pouvez trouver beaucoup d'options si vous le souhaitez).